What Is it?
Your smile is one of the first things people notice about you. But if you’re unhappy with your teeth, you may find yourself hiding it. That’s where smile design comes in—a fully personalised approach to improving the appearance, health, and harmony of your smile. At Aspire Dental & Facial Aesthetics in Teignmouth, we specialise in crafting bespoke smile design treatments that suit your face, your goals, and your lifestyle.
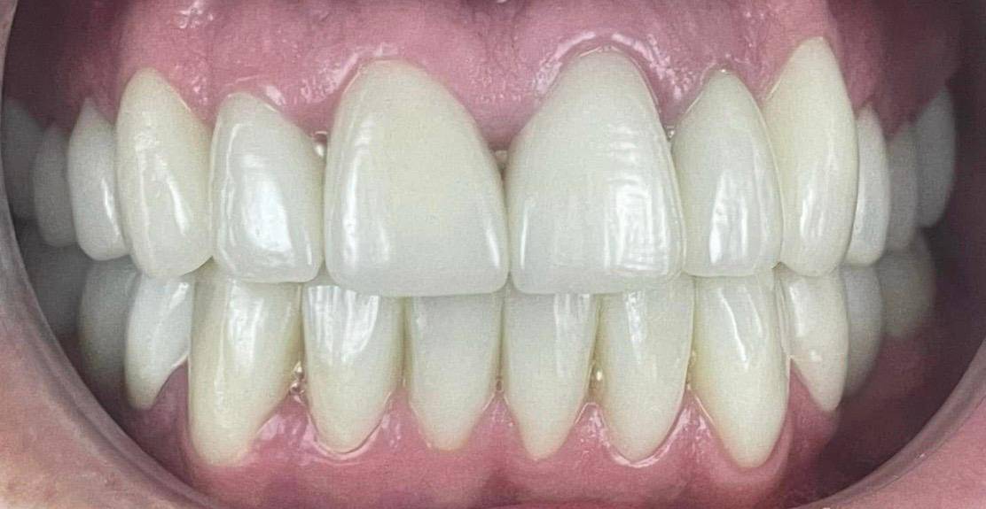
It is more than just cosmetic dentistry—it’s a detailed process that combines artistry with advanced dental science. It begins with a comprehensive consultation, during which your dentist evaluates your teeth, gums, lips, and facial structure. The aim is to create a balanced, natural-looking smile that enhances your overall facial appearance. Whether you’re looking to fix chipped teeth, close gaps, whiten your smile, or correct alignment issues, we offer a holistic solution.
At Aspire Dental & Facial Aesthetics in Teignmouth, we use the latest digital technology to help you visualise your new smile before treatment begins. This includes digital scans, photographic analysis, and sometimes even trial smiles with temporary restorations. Common treatments may include porcelain veneers, Invisalign, composite bonding, gum contouring, and teeth whitening—each chosen to suit your individual needs.
One of the key advantages of smile design is that it takes into account not just how your teeth look, but how they function. A beautiful smile is only effective if it’s healthy and long-lasting. That’s why our team at Aspire Dental & Facial Aesthetics in Teignmouth works with you to ensure your bite is properly aligned and your oral health is in excellent condition before cosmetic work begins.
If you’re ready to transform your smile and boost your confidence, consider a personalised smile design consultation. At Aspire Dental & Facial Aesthetics in Teignmouth, we’re here to help you achieve a smile that looks great, feels comfortable, and reflects the very best version of you.
1. What is the concept of smile design?
The concept is a customised approach to creating a balanced, natural, and attractive smile by addressing the size, shape, colour, and alignment of the teeth—as well as the gums and facial features. It is a combination of aesthetics and function, using digital planning and advanced techniques to tailor a treatment plan specifically for each individual. At Aspire Dental & Facial Aesthetics in Teignmouth, smile design considers not just how the smile looks, but how it complements your facial proportions and enhances overall oral health.
2. What is “design to smile”?
“Design to smile” is often used to describe the goal-driven approach behind cosmetic and restorative dentistry. It focuses on crafting smiles that are not only beautiful but also designed to promote confidence, comfort, and health. At Aspire Dental & Facial Aesthetics in Teignmouth, our design to smile philosophy means that every treatment is meticulously planned and executed to bring out the best in your natural features while improving function and longevity.
3. Is smile design permanent?
Smile design results can be long-lasting but are not always permanent. The durability depends on the materials used (e.g., porcelain veneers vs composite bonding), your oral hygiene, and lifestyle habits. Treatments like veneers and crowns can last 10–15 years or more with proper care, while whitening or bonding may need periodic maintenance. At Aspire Dental & Facial Aesthetics in Teignmouth, we provide detailed aftercare advice and regular follow-up appointments to help you maintain your smile design results for as long as possible.
4. What are the side effects of smile design?
Smile design is generally safe when performed by experienced clinicians, but like all dental procedures, it can carry some risks. These may include temporary tooth sensitivity, mild gum irritation, or—rarely—issues with bite alignment if not properly planned. At Aspire Dental & Facial Aesthetics in Teignmouth, we prioritise patient safety and comfort, using minimally invasive techniques and digital planning to reduce side effects and ensure optimal results.
For literature review follow this link https://www.iosrjournals.org/iosr-jdms/papers/Vol24-issue8/Ser-6/D2408061318.pdf



